Le paludisme est l’affection parasitaire la plus fréquente et la plus grave chez la femme enceinte d’où l’importance de la prophylaxie. Les autres parasitoses sont plus bénignes.
La grossesse n’est pas une contre indication aux voyages tropicaux. Une parasitose est souvent constatée chez les femmes enceintes, qu’il s’agisse d’autochtones ou de touristes séjournant outre-mer. Certaines parasitoses sont graves, comme le paludisme, alors que les vers intestinaux sont habituellement assez bénins. La plupart des médicaments antiparasitaires actuels sont bien tolérés chez les femmes enceintes. Le paludisme est l’affection parasitaire la plus fréquente et qui pose le plus de problèmes chez la femme enceinte. Les autres parasitoses sont rarement urgentes et le traitement peut souvent être différé.
Les vaccins
La femme enceinte qui voyage nécessite des vaccins. Les vaccins habituels (tétanos, poliomyélite, diphtérie, hépatites A et B, et typhoïde) ne posent aucun problème. Seul, le vaccin contre la fièvre jaune, vaccin avec un virus vivant, nécessite d’être étudié au cas par cas. En effet, l’OMS considère que cette vaccination est déconseillée, sauf en «cas d’exposition au risque». Il est bien évident qu’une femme enceinte allant passer quelques jours à Dakar pour son travail, et ne restant que dans les bureaux, a un risque très limité de contracter une fièvre jaune. Au contraire, une femme allant passer plusieurs semaines ou mois dans un village de brousse prend un risque nettement plus important, justifiant alors la vaccination. Par ailleurs, un certain nombre de femmes ont été vaccinées, soit ne connaissant pas leur état de grossesse soit se trouvant dans une «situation à risques», et il n’a pas été rapporté d’incidents, ni chez la mère ni chez le fœtus.
La fièvre jaune, transmise par la piqûre d’un moustique femelle (Aedes) existe en Afrique intertropicale et en Amérique du sud, dans le bassin de l’Amazonie, Guyane française incluse. La maladie se manifeste par une hépatonéphrite aiguë d’évolution souvent rapidement mortelle. Il n’y a pas de traitement spécifique. Aussi, malgré le risque théorique d’un vaccin vivant, il faut évaluer la balance bénéfice/risque en fonction du lieu de séjour.
Le paludisme
Le risque le plus important en zone tropicale est le paludisme, affection tropicale la plus répandue, un milliard de personnes vivant en zone à risques. Chaque année, il y a environ 300 millions de malades, dont 1 à 2 millions qui en décèdent, principalement des enfants. L’apparition et la rapide extension des chimiorésistances et l’accoutumance des moustiques aux insecticides nécessitent d’adapter la chimioprophylaxie.
Une fièvre par accès
Le paludisme est dû à un parasite sanguin, le Plasmodium, transmis par un moustique, l’anophèle femelle. Après multiplication dans les hépatocytes, le protozoaire passe dans la circulation et se multiplie dans les hématies. L’éclatement des globules rouges parasités, provoque les accès palustres. Il existe plusieurs espèces de Plasmodium, avec des caractéristiques différentes (Tableau I).
Tableau I. Caractères des différents Plasmodium
La phase d’invasion est marquée par un embarras gastrique fébrile. La fièvre est en plateau et peut faire égarer le diagnostic vers une autre pathologie (typhoïde). Puis, survient la crise typique de paludisme, se répétant toutes les 48 ou 72 heures, réalisant les accès fébriles tierces ou quartes : sensation de froid avec frissons incontrôlables, puis fièvre à 40°C, avec une peau sèche et brûlante, puis sueurs abondantes. L’ensemble de ces phénomènes dure quelques heures, et l’état général du sujet s’améliore très nettement jusqu’à l’accès suivant. En raison de la présence d’hypnozoïtes hépatiques, des reviviscences sont possibles pendant 3 à 5 ans pour P. vivax et P. ovale, mais pas avec P. falciparum.
L’accès pernicieux, ou neuropaludisme, dû exclusivement à Plasmodium falciparum, réalise une encéphalopathie aiguë. Il peut survenir brutalement, sans signe prémonitoire ou succéder à un accès typique négligé. La fièvre dépasse 40°C, une hypothermie étant de mauvais pronostic (Tableau II). Des convulsions sont fréquentes et la patiente sombre dans le coma. Le traitement par quinine intra-veineuse est une urgence, l’évolution spontanée étant fréquemment mortelle.
Tableau II. Critères de gravité de l’accès pernicieux (OMS)
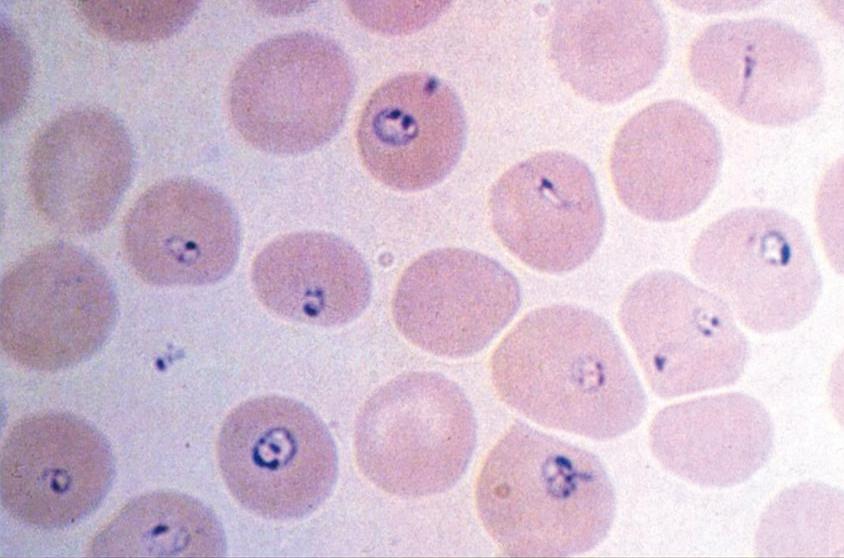
Le diagnostic repose sur la mise en évidence de l’hématozoaire sur le frottis sanguin, permettant l’identification du Plasmodium et sa quantification (Figure 1). Il doit être recherché chez la mère, et en cas d’accouchement d’une mère atteinte de paludisme, au niveau du placenta et chez l’enfant. Les tests rapides permettent d’affirmer rapidement la présence de Plasmodium falciparum.
Figure 1. Frottis sanguin: Plasmodium falciparum
Paludisme et grossesse
Les effets du paludisme sont très variables selon le taux d’immunité du sujet. En effet, les stimulations antigéniques répétées dues aux piqûres continuelles de moustiques entraînent un certain degré d’immunité due aux IgG, ayant une spécificité pour des antigènes variants de surface. Aussi les conséquences seront-elles différentes selon qu’il s’agit d’une femme «immunisée» ou non.
Femme vivant en zone d’endémie
La grossesse s’accompagne d’une certaine diminution de l’immunité acquise, surtout chez la primigeste, entraînant donc une augmentation de la fréquence et de l’intensité de la parasitémie. La première grossesse réactive plus le paludisme que les grossesses ultérieures et le paludisme est plus fréquent et plus grave chez les primigestes et leurs nouveau-nés. En effet l’utérus et le placenta forment une nouvelle localisation pour les parasites. Il est très probable que cela induise une réponse locale, apportant une certaine protection contre les infestations ultérieures. La parasitémie diminue avec la parité et l’âge de la mère, passant du risque 9 chez les primigestes au risque 2 à la sixième grossesse.
En outre, au cours de la grossesse, la prévalence et l’intensité du paludisme augmentent dans les premières semaines pour revenir à un taux équivalent à celui de la population environnante dans les dernières semaines. Une étude réalisée en Gambie montre nettement la prépondérance du paludisme chez les primipares, en brousse avec un maximum au 2e trimestre. Le foetus est en général protégé par les anticorps maternels, expliquant le taux relativement faible de paludisme congénital (0,5 %).
Chez la femme non immunisée (touriste) ayant fait un séjour en zone tropicale, toutes les formes de paludisme peuvent se rencontrer, allant des formes bénignes à l’accès pernicieux.
Les accès fébriles peuvent provoquer un avortement au début ou un accouchement prématuré en fin de grossesse. C’est essentiellement en cas de paludisme contracté en fin de grossesse que peut survenir une infestation du fœtus à l’origine du paludisme congénital (10 % dans ce cas). En l’absence de diagnostic et de traitement rapide, le pronostic est réservé pour la mère et le fœtus, l’évolution pouvant être rapidement fatale.
Retentissement de la grossesse sur le paludisme
La grossesse, véritable «stress» immunologique, provoque une chute de l’immunité anti-palustre et, de ce fait, peut démasquer un paludisme latent, ou favoriser la survenue de formes graves (accès pernicieux). Le taux d’infestation du placenta est toujours supérieur à celui du sang.
En effet, le Plasmodium est souvent retrouvé dans le placenta, alors que les examens de sang restent négatifs. Ainsi, à Panama, sur 400 placentas examinés, 11 étaient parasités, alors que les frottis des mêmes patientes étaient négatifs. Il en a été de même à Dakar, où, sur 130 placentas, 15 % étaient positifs contre seulement 1,6 % des sangs de fœtus.
Les symptômes classiques du paludisme sont accentués. Quel que soit le stade de la grossesse, Plasmodium falciparum risque toujours d’évoluer, sans traitement, vers l’accès pernicieux. En fin de grossesse, il y a souvent un lors d’une crise aiguë de paludisme, un accouchement prématuré avec parfois mort subite de la mère dans les suites immédiates.
Le paludisme est la principale cause d’anémie au cours de la grossesse. Cette anémie apparaît vers la 20e semaine. Elle est hémolytique, normocytaire et normochrome, surtout importante chez les primigestes et s’aggrave parallèlement aux nombres d’accès de paludisme. L’anémie sévère augmente la mortalité maternelle et fœtale.
Retentissement du paludisme sur la grossesse
Un paludisme transforme une grossesse normale en grossesse pathologique. Les accès répétés de paludisme peuvent perturber le fonctionnement hypophysaire et entraîner une stérilité. Au début, le paludisme entraîne une accentuation des «signes sympathiques» de la grossesse. Dans les grossesses avancées, il existe une corrélation entre le taux de parasitémie et la durée de la fièvre d’une part et le risque d’avortement d’autre part. La mort fœtale in utero, l’accouchement prématuré et l’hypotrophie fœtale sont plus fréquents.
Les placentas de mères impaludées ont habituellement un poids plus faible que les placentas sains. L’étude microscopique a montré un épaississement de la membrane basale du trophoblaste, une infiltration inflammatoire intervilleuse importante, une dégénérescence hyaline des villosités, des foyers de nécrose syncytiale et la présence très fréquente de pigment malarique dans les espaces intervilleux. Enfin, il a été montré récemment une capacité particulière de cytoadhérence des hématies infestées à la couche de syncytiotrophoblastes du placenta par le récepteur chondroïtine sulfate A, ce qui provoque une séquestration des parasites dans le placenta.
A l’approche du terme, le paludisme est un facteur important de prématurité, surtout chez la primigeste. Les dystocies dynamiques sont fréquentes et probablement liées à une hypoxie utérine. Il faut rester très vigilant et prévenir toute hémorragie de la délivrance ou du post-partum, qui risquerait d’être mal tolérée, chez une femme déjà anémiée. Dans le post-partum, le paludisme peut évoquer une fièvre puerpérale. Aussi en l’absence de diagnostic précis, en zone d’endémie, est-il conseillé d’associer antibiotiques et antipaludiques.
Un accès pernicieux doit être distingué d’une éclampsie (Tableau III), bien que ces deux affections puissent être associées. Par ailleurs, les femmes infectées par le VIH présentent une élévation de la prévalence et de la parasitémie par P. falciparum. En revanche, l’aggravation de l’infestation par le VIH n’a pas été démontrée en cas de coinfection avec le paludisme.
Tableau III. Eléments distinctifs entre éclampsie et accès pernicieux
Le paludisme de la mère retentit bien évidemment sur le fœtus. Une fois le risque d’avortement ou d’accouchement prématuré écarté, le fœtus naît avec un poids plus faible que le fœtus né de mère saine, avec un risque de mortalité dans 6 % des cas.
Le risque de paludisme congénital est certain. Le mécanisme du passage transplacentaire des hématies parasitées est mal élucidé : parasite migrant à l’état libre ou dans une hématie infestée, nécessité d’un placenta pathologique, passage au moment des pics fébriles ? De toute façon, on estime que la densité parasitaire reste 300 à 1 000 fois plus faible chez le fœtus que chez la mère. Le paludisme congénital est affirmé sur l’élimination de toutes les possibilités de contamination directe (transfusion, inoculation naturelle par le moustique), et l’identité du Plasmodium chez la mère et l’enfant, retrouvé dans le sang du cordon à la naissance.
Le paludisme congénital-infestation se caractérise par la présence isolée d’hématozaires dans le sang. Cette parasitémie, asymptomatique, est spontanément régressive. Le paludisme congénital-maladie est l’association d’une parasitémie et de symptômes cliniques : hépatosplénomégalie, ictère, pâleur et anémie hémolytique. Un retard de croissance pondérale est souvent retrouvé. Le pronostic est favorable sous traitement rapide.
Une certaine hypogalactie est constatée chez les mères paludéennes, mais cela ne contre-indique pas l’allaitement maternel. Les antipaludiques (Nivaquine®, quinine) passent dans le lait mais en quantité infime, sans aucune conséquence pour le nouveau-né. Par ailleurs, le lait maternel est pauvre en acide para-aminobenzoïque, substance indispensable au métabolisme du Plasmodium. Dans les trois premiers mois de la vie, les IgG de la mère transmises à l’enfant sont protectrices. La présence d’hémoglobine fœtale est un facteur supplémentaire, expliquant l’absence habituelle de paludisme chez les nouveau-nés de mères vivant en zone d’endémie.
Traitement et prophylaxie
Le traitement classique de la primo-invasion et de l’accès simple dus à P. vivax, P. ovale et P. malariae repose sur la chloroquine ou Nivaquine®, à raison de 9 comprimés à 100 mg à J1 (6 cp + 3 cp 6 heures plus tard) et 300 mg à J2 et J3. Ce traitement pourra être repris quelques mois plus tard, en cas de reviviscence. En cas d’accès pernicieux, le traitement doit être instauré d’urgence : quinine : 1,5 g à 2 g en perfusion lente par voie intraveineuse pendant 3 à 5 jours. La Nivaquine® et la quinine ne sont ni abortives, ni tératogènes. Mais la quinine peut augmenter les contractions d’un utérus manifestant déjà une tendance contractile prématurée.
S’il s’agit d’une souche de P. falciparum chloroquinorésistante, cas le plus fréquent, le meilleur traitement est l’association atovaquone-proguanil (Malarone®) à raison de 4 cp/j/3j, et éventuellement, l’halofantrine (Halfan®) ou encore la méfloquine (Lariam®). Ce dernier produit peut provoquer des effets secondaires non négligeables à type de troubles digestifs ou neuropsychiques mais n’a pas d’effet abortif ni tératogène. L’association artésunate-atovaquone-proguanil s’est avérée efficace et bien tolérée. En cas de paludisme congénital, il faut traiter l’enfant dès la naissance, soit par Nivaquine® (en sirop) : 100 mg/j pendant 2 jours, puis 50 mg/j pendant 3 jours, puis 1 cuillère-mesure (soit 25 mg) 1 jour sur 2 pendant 2 mois, soit par la quinine IV ou IM (25 mg kg/j) pendant 3 jours.
La prophylaxie est fondamentale chez la femme enceinte, plus sensible que d’autres au paludisme, et qui «attire» plus les moustiques que la femme non enceinte (élévation de la chaleur cutanée et sécrétion de substances volatiles).
Éviter les piqûres de moustiques nécessite de revêtir des vêtements légers, mais longs et de dormir sous une moustiquaire, si possible imprégnée d’insecticide, les moustiques piquant essentiellement entre 22 h et 2 h du matin. Cette moustiquaire ne présente aucun danger pour les dormeurs, y compris les très jeunes enfants. On peut y adjoindre avec prudence l’application de produits répulsifs sur la peau (type Mousticrême, Moustifluid, Moustidose ou encore Insect-écran adulte et enfant), de pastilles ou spirales auto-combustibles de pyréthrinoïdes. L’application de produits insecticides sur les habits (Insect-écran, Moustidose) est souvent une précaution utile. Le DDT, ayant provoqué des retards au développement neurologique du fœtus, n’est plus utilisé.
La chimioprophylaxie est indispensable par Nivaquine®, Savarine® ou Malarone® et doit être adaptée à la zone où se rend la femme enceinte, l’OMS ayant divisé les pays tropicaux en 3 zones selon l’intensité de la résistance (Tableau IV). En fait, ce tableau malgré ses mises à jour, est perpétuellement en retard sur l’aggravation de la chloroquino-résistance, qui a gagné maintenant l’ensemble du monde tropical. De plus, les intolérances à la méfloquine entrainent une certaine prudence vis à vis de ce produit. Ces produits ne sont ni abortifs ni tératogènes. Aussi, l’OMS préconise-t-elle actuellement le traitement préventif intermittent par sulfadoxinepyriméthamine, à raison de seulement 4 prises au cours de la grossesse. Ceci permet de réduire nettement l’incidence du paludisme lors des grossesses passant, par exemple au Congo, de 35 % à 19,7 %.
Tableau IV. Chimioprophylaxie antipaludique chez la femme enceinte
La vaccination est encore à l’étude. Elle est complexe, car le parasite se modifie sans cesse au niveau de son circuit dans l’organisme. Aussi le vaccin est-il orienté contre trois stades parasitaires : sporozoïtes, mérozoïtes et gamétocytes et les essais actuels sont encourageants.
Les autres parasitoses
D’autres parasitoses intestinales ou générales, fréquentes en zone tropicales, peuvent interférer avec la grossesse, habituellement par une aggravation des troubles.
Amoébose
L’amoébose (nouvelle appellation de l’amibiase) est extrêmement répandue dans les pays tropicaux, atteignant environ 10 % de la population mondiale. L’homme s’infeste par ingestion de kystes d’Entamoeba histolytica avec les crudités, les fruits ou l’eau de boisson.
La grossesse ou les suites d’accouchement ou d’avortement sont des circonstances favorables pour l’amoébose et provoquent l’apparition de symptômes graves, en raison, probablement, de l’imprégnation hormonale due à la grossesse (élévation des 17-hydroxycorticostéroides et du cholestérol) qui favorise le développement d’Entamoeba histolytica. L’amibiase serait la principale cause de décès maternel en Tanzanie. Aussi en zone tropicale, ne faut-il jamais négliger les «petites diarrhées» chez les femmes enceintes. Apparaissent vite des selles liquides avec des glaires et du sang, s’accompagnant d’intenses douleurs abdominales.
Le traitement actuel est basé sur la prescription de dérivés imidazolés : métronidazole (Flagyl®), tinidazole (Fasigyne®) à raison de 2 g/j pendant 3 jours. La destruction des kystes intestinaux résiduels justifie la prise d’Intétrix® : 4 gélules par jour pendant 10 jours.
L’amoébose n’est pas transmissible au fœtus in utero, les amibes étant trop grosses pour traverser le placenta. Mais le traitement de la mère et un lavage soigneux et répété des mains sont nécessaires avant de s’occuper de son enfant, pour éviter une contamination néo-natale. Aussi, est-il important de faire respecter une hygiène alimentaire stricte chez la femme enceinte.
Ankylostomose
Les ankylostomes sont des petits vers ronds intestinaux dont la contamination se fait par voie transcutanée, et qui sont répandus dans toutes les zones tropicales. Situés au niveau du duodénum, ils sont hématophages et consomment en moyenne 0,1 ml de sang par jour et par ver.
Les troubles sont essentiellement digestifs. Mais au stade de l’infestation chronique, apparaît une anémie ferriprive parfois importante, l’hémoglobine descendant au-dessous de 5 g/100 ml. Une telle conséquence provoque une asthénie extrême, une insuffisance cardiaque et un risque important d’avortement et d’accouchement prématuré. L’anémie augmente le danger vital de toute hémorragie liée à la grossesse, en particulier pendant le travail.
Le diagnostic est basé sur l’examen de selles mettant les œufs caractéristiques en évidence. Le traitement repose sur le flubendazole (Fluvermal® 2 cp par jour pendant 3 jours).
Bilharzioses
Atteignant près de 600 millions de personnes, les bilharzioses (ou schistosomoses) sont très répandues en pays tropical et dues à la pénétration transcutanée des cercaires situées dans l’eau douce. Toute la pathogénicité des bilharzioses réside dans la réaction inflammatoire qui se forme autour des œufs, réalisant le «granulome bilharzien». La présence de très nombreux granulomes entraîne une modification importante du tissu, en particulier au niveau du foie, où apparaît une fibrose portale, mais aussi dans toute la sphère génitale.
Le problème majeur de la bilharziose, essentiellement urinaire, est l’atteinte génitale constatée surtout chez les femmes jeunes. L’atteinte ovarienne entraîne des ménométrorragies, une dysménorrhée puis une aménorrhée. En découle une stérilité primitive ou secondaire. En cas de grossesse, peut survenir un avortement ou un accouchement prématuré avec hypotrophie fœtale.
La bilharziose étant une maladie à évolution longue, sans complication particulière due à la grossesse, il est préférable, si l’état clinique est encore satisfaisant, d’attendre l’accouchement pour traiter. Le traitement par praziquantel (Biltricide®) 40 mg/kg en cure unique, n’est justifié pendant la grossesse, par prudence, que si les troubles cliniques sont importants. Cependant ce produit n’est ni abortif, ni tératogène. La prophylaxie consiste à éviter le contact avec l’eau douce.
Trypanosomoses
La trypanosomose humaine africaine est une affection due à un flagellé, Trypanosoma gambiense en Afrique de l’ouest et Trypanosoma rhodesiense en Afrique de l’est, transmis par la glossine, ou «mouche tsé-tsé». Les troubles concernent principalement le système nerveux : hyperesthésie profonde, irritabilité, anxiété, puis apathie extrême, d’où le nom de «maladie du sommeil».
Une perturbation endocrinienne est fréquente avec trouble de la régulation thermique, perte de la libido, aménorrhée et stérilité. Chez la femme enceinte non traitée en raison d’une atteinte subclinique, peuvent survenir des avortements (10 à 30 % des cas) ou des accouchements prématurés. La trypanosomose congénitale est possible, par passage du parasite à travers le placenta. L’enfant est fébrile et somnolent avec des convulsions répétées et une hépatosplénomégalie. Il n’est pas rare de diagnostiquer des trypanosomoses congénitales chez des enfants dont la mère est asymptomatique.
Le diagnostic repose sur l’accélération de la vitesse de sédimentation, la présence d’IgM dans le LCR et la mise en évidence du parasite dans la moelle et le LCR. Le traitement, en milieu hospitalier, repose sur la pentamidine (4 mg/kg/j) ou le mélarsoprol (3,6 mg/kg/j).
La trypanosomose américaine, ou maladie de Chagas, est due à un flagellé, Trypanosoma cruzi, transmis par une punaise. Très répandue en Amérique du Sud, elle sévit essentiellement dans les milieux défavorisés, en particulier dans les favelas et infeste 10 à 18 millions de personnes, y compris au Etats-Unis. Un œdème palpébral, une fièvre à 40°C et une hépato-splénomégalie caractérisent la phase aiguë.
Les symptômes régressent, et plusieurs années après, apparaît la forme chronique : myocardite, méningoencéphalite et dilatation du tube digestif.
La transmission congénitale dépasse 10 % en Bolivie, atteint 30 % en Argentine, et provoque des avortements et des morts in utero. Parfois l’enfant naît apparemment sain, les troubles n’apparaissent que tardivement (après plusieurs semaines ou plusieurs mois) : fièvre, anémie, ictère, hépatomégalie, hémorragies, convulsions. Le traitement est basé sur le Lampit (10 mg/kg/j pendant 3 mois) ou le Radanil (5 mg/kg/j pendant 1 mois).
Autres parasitoses intestinales
La giardiose, due à Giardia intestinalis, se manifeste par des épigastralgies plus ou moins rythmées par les repas, évoquant un ulcère d’estomac ou une pancréatite avec des selles abondantes et luisantes. Le diagnostic est établi par l’examen parasitologique des selles ou le tubage duodénal (Figure 3). Dans la grande majorité des cas, les troubles sont peu marqués et la prescription thérapeutique n’est pas urgente et peut attendre l’accouchement. Il n’y a pas de transmission congénitale de la giardiose. Cependant, en raison du risque de transmission de cette parasitose par les mains souillées, il est important de traiter pour éviter une giardiose néonatale.
Le traitement en cure unique par la Fasigyne 500® (4 cp) est efficace et très bien supporté.
Figure 3. Formes végétatives de Giardia intestinalis
Outre les ankylostomes, déjà cités, les autres nématodoses intestinales, extrêmement fréquentes en zone tropicale, ne posent aucun problème particulier chez une femme enceinte : oxyures, ascaris, trichocéphales, anguillules ne provoquent que des troubles digestifs pouvant éventuellement aggraver les désagréments habituels de la grossesse. Tant que les troubles restent modérés et tolérables, les traitements ne sont pas indispensables et peuvent n’être pratiqués qu’après l’accouchement.
Patrice Bourée – Professeur au Collège de Médecine, Consultation des maladies tropicales, Institut A Fournier Service de Parasitologie-Mycologie, Hôpital Cochin
EN PRATIQUE:
– Le paludisme est fréquent chez les femmes enceintes, surtout chez les primigestes et sa prévalence décroît avec la parité.
– Le diagnostic de paludisme chez la femme enceinte ne doit pas être confondu avec les autres causes de fièvre.
– La plupart des traitements antipaludiques sont utilisables chez la femme enceinte.
– Une femme enceinte paludéenne donnera naissance à un enfant avec un faible poids de naissance.
– Le risque de paludisme congénital est plus fréquent chez la touriste (10 %) que chez la femme autochtone (0,5 %).
– Le paludisme est une des principales causes d’anémie chez la femme enceinte en zone d’endémie.
– L’infestation importante par l’ankylostome aggrave l’anémie de la femme enceinte.
– La bilharziose peut envahir les organes génitaux et être responsable de stérilité, de dystocie utérine, d’accouchement prématuré.
– La plupart des helminthes intestinaux ne retentissent que peu sur la grossesse et leur traitement peut attendre l’accouchement.
Article paru dans le Genesis N°186 (septembre/octobre 2015)








47 commentaires