Contexte clinique
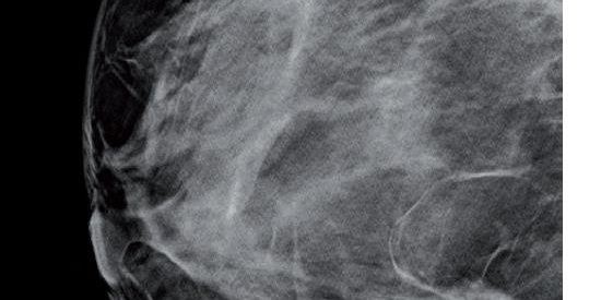
– Patiente de 57 ans asymptomatique, opacité dense du QIE du sein droit.
– La tomosynthese révèle une opacité dense bilobée à contours spiculés.
– Histologie : CCI.
Pierre Alain Goumot – Radiologue, Paris
Article paru dans le Genesis N°187 (novembre/décembre 2015)







45 commentaires