Par Pierre-Alain Goumot, Radiologue, Paris
■ Contexte clinique :
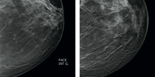
Évolution sur 1 an. Patiente de 56 ans sans antécédents. Apparition en un an d’une tumeur solide développée sur 2 cm.
■ Histologie : CCI de haut grade.
Rappelons que le temps moyen de doublement de volume d’un carcinome canalaire est de l’ordre de trois mois et 10 jours.








39 commentaires